Екатерина Стрельникова

    Стоматолог-гигиенист
    Взрослые и дети от 11 лет

    Обо мне

       
    Что является самым главным в образе человека, для того чтобы
     произвести приятное впечатление на окружающих людей?
        Конечно КРАСИВАЯ УЛЫБКА, а красивая улыбка - это, в первую очередь, абсолютно здоровые зубы!

        Меня зовут Екатерина, я гигиенист стоматологический в клинике Чайка. В своей работе я стараюсь создать атмосферу комфорта и безопасности для своих пациентов, помогая им преодолеть страх перед стоматологическими процедурами. Так же я помогаю поддерживать здоровье полости рта у своих пациентов, забочусь о профилактике стоматологических заболеваний, обучаю пациентов правильному уходу за зубами и провожу ряд процедур, способствующих сохранению здоровья и красоты зубов.

    Ко мне можно и нужно обращаться если у вас:
      - кровоточивость при чистке зубов
      - неприятный запах изо рта
      - появилась чувствительность эмали зубов
      - если вас беспокоят заметно потемневшие зубы
      - если у вас есть ортопедические или ортодонтические конструкции в полость рта и вам нужна консультация по уходу за ними
      - если вы не знаете какие средства по уходу подобрать именно вам

    Чем я могу помочь вам:
      - Проведу комплекс профессиональной гигиены полости рта
      - Помогу укрепить эмаль зубов и избавиться от чувствительности  (фторпрофилактика и реминерализующая терапия)
      - Подберу, индивидуально, средства личной гигиены с учетом ваших особенностей
      - Расскажу чем/когда/и как нужно ухаживать за зубами.

    Образование

    2001-2005г  ММУ при ГКБ им. С.П.Боткина
    2006-2012г  МГОУ им. В.С.Черномырдина
    2021-2022г  ЧОУ Стоматологический колледж №1

    2021г "Гигиена и профилактика в стоматологии"
    2022г "Guided Biofilm Therapy" (GBT)
    2022г "Принципы профилактики периимплантита с использованием современных технологий"
    2022г "Пародонтологический практикум. Всё о ручных инструментах"
    2023г "Комплексный подход в современной гигиене" (ITOP)
    2023г " Принципы работы и использование аппарата VECTOR в пародонтологии"

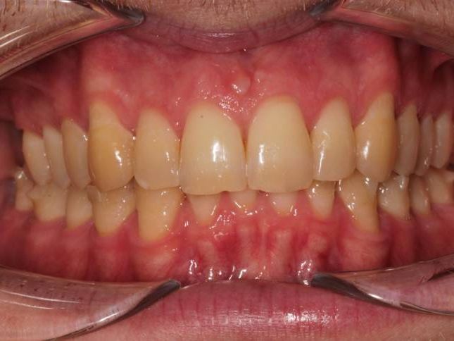
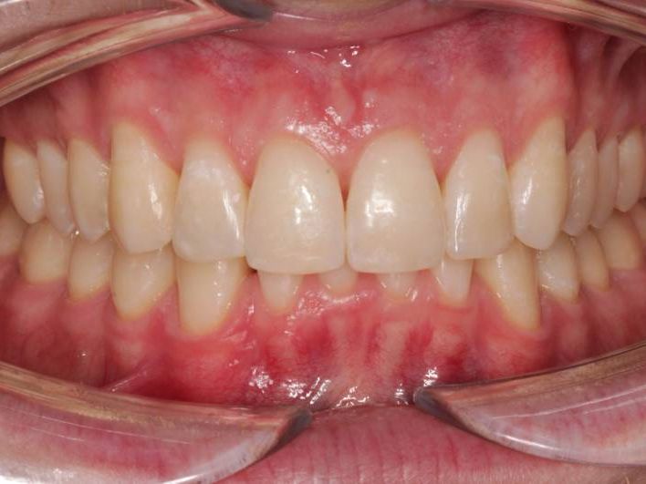
    Примеры работ

    • Отбеливание