Павел Марченков

    Стоматолог-ортопед • Стоматолог-хирург
    Взрослые
    Владеет языками
    Английский

    Обо мне


    В своей работе слышу пациента, углубляясь в саму суть проблемы. 
    Применяю самые передовые технологии из мира стоматологии, работая как в аналоговом, так и в полном цифровом протоколе лечения.  Тем самым добиваюсь максимального результата оздоровления всей полости рта, а так же к полному устранению первопричины заболевания.
    Мое кредо: "Я лечу саму причину болезни и качественно устраняю последствия"
    Такой подход позволяет получать колоссальную обратную связь от врачей разных специальностей из многих частных клиник Москвы, что позволяет понять Я -Доктор, а не очередной стоматолог, который сошел c Reels из "Запрещенная на территории РФ соц. сеть".

    Образование

    Окончил Смоленский государственный медицинский университет в 2015г. 

    Интернатура в "ПМГМУ им. И.М. Сеченова" в 2016г.

     

    Регулярные учебы и продления профессиональной сертификации по хирургии и ортопедии.


    Более 40 пройденных сертифицированных учеб и курсов по своей специализации в России и не только, начиная с 2013 года.

    Опыт работы

    Непрерывный стаж с 2015 года

    Работа в полном цифровом протоколе 

    Работа в полном аналоговом протоколе 

    Микропротезирвание жевательной группы зубов 

    Микропротезирование фронтальной группы зубов 

    Звания и степени


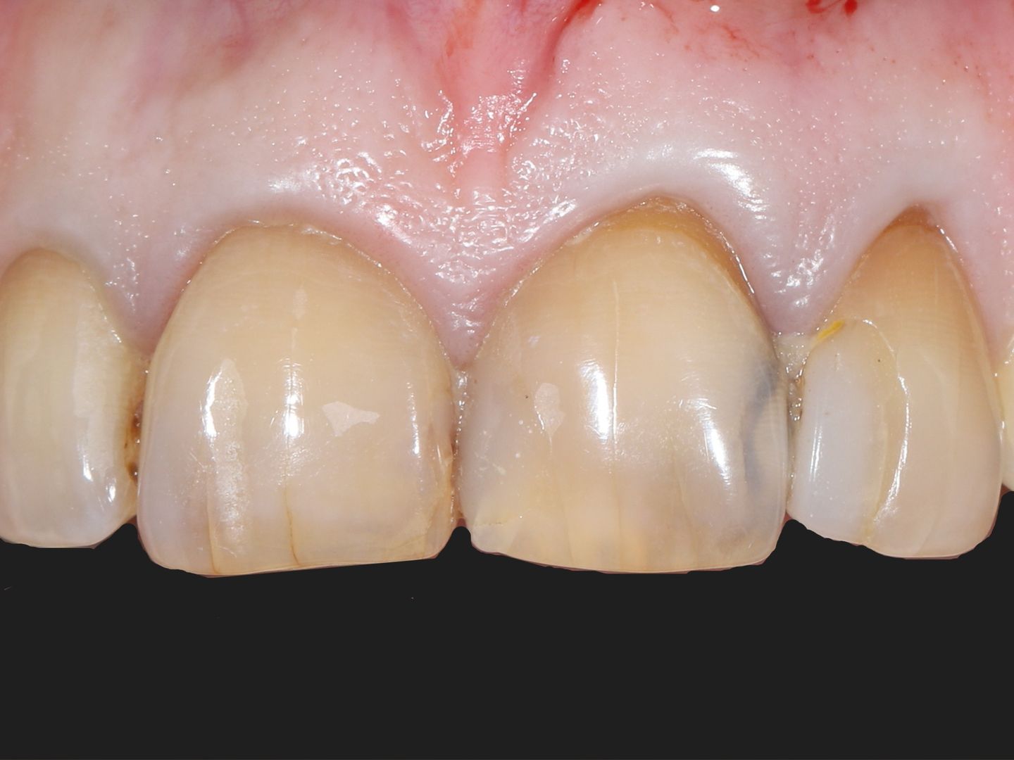
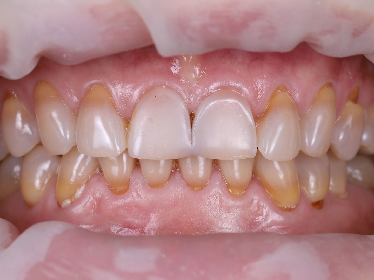
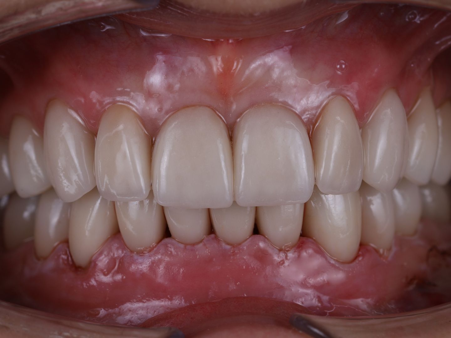
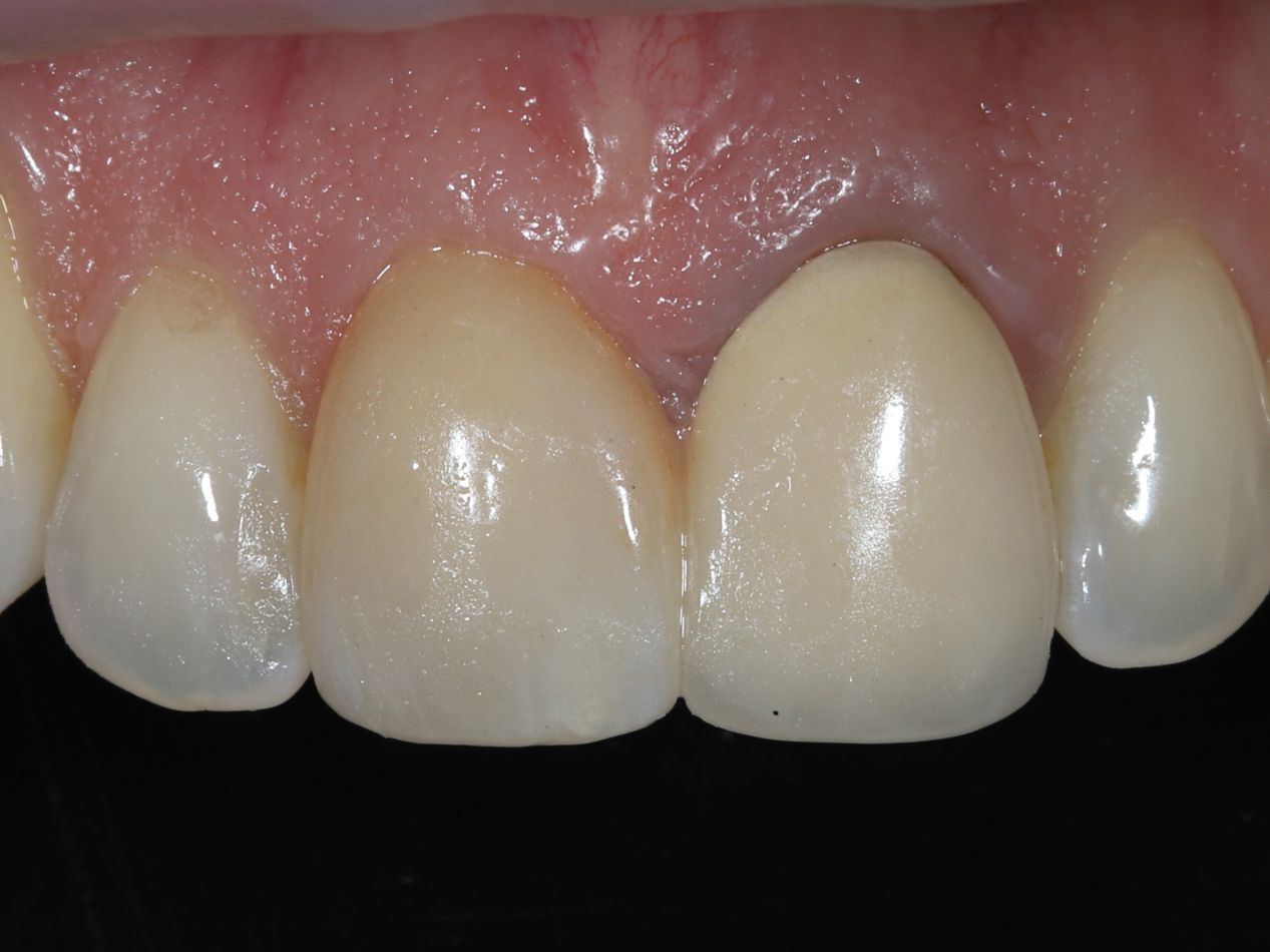
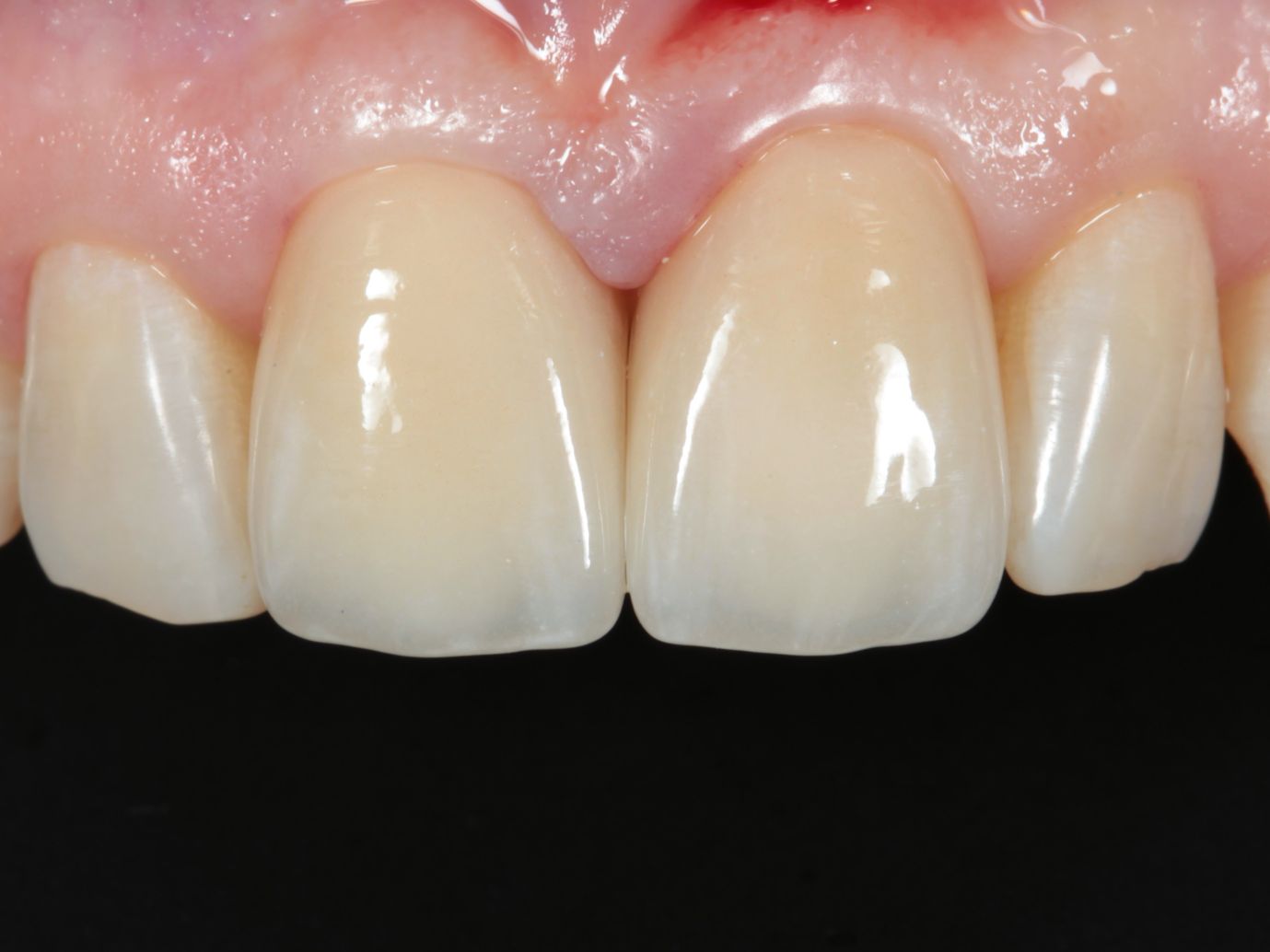
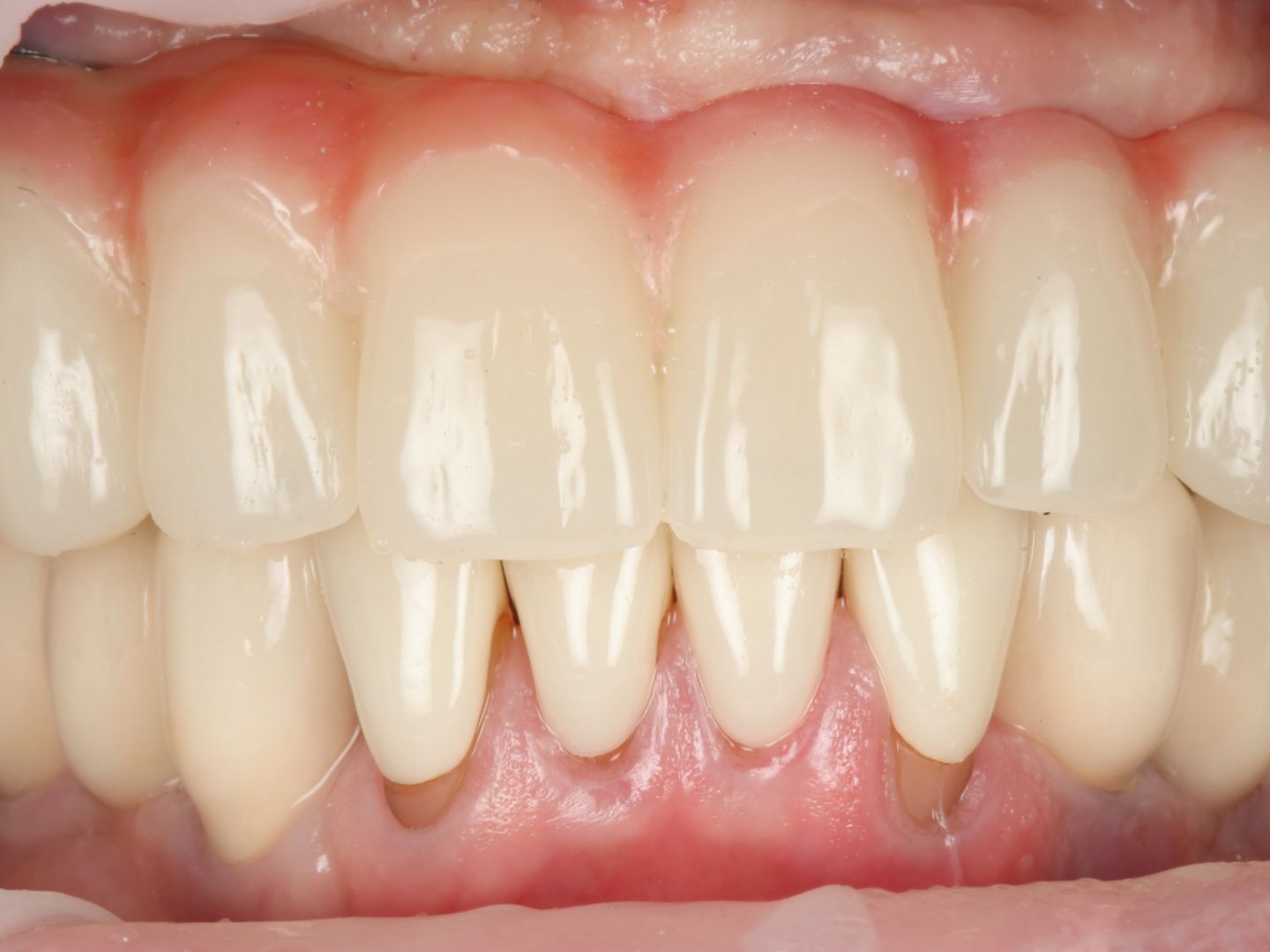
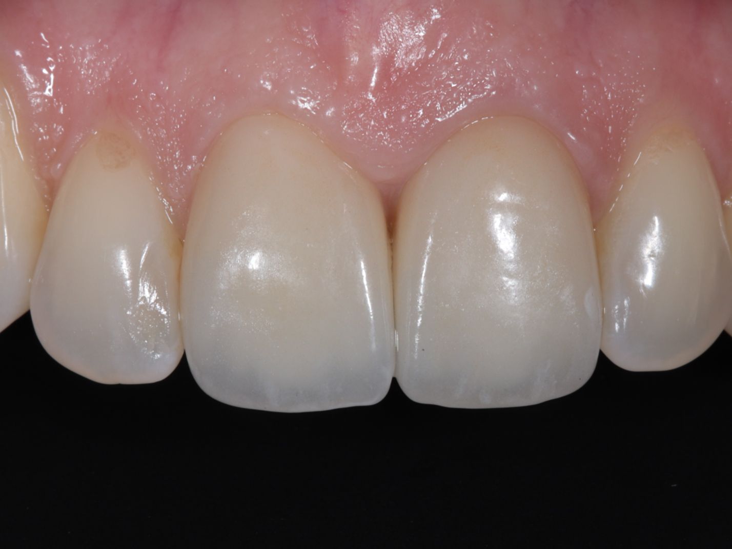
    Примеры работ

    Почему я работаю в этой клинике