Анастасия Иванова

    Стоматолог-ортопед
    Взрослые
    Владеет языками
    Английский, Русский

    Обо мне

    Мир медицины всегда вдохновлял меня своей глубиной и потенциалом, и именно это стремление к знаниям привело меня в стоматологию. А любовь к эстетике и внимание к деталям позволяет мне создавать гармоничные и функциональные решения для восстановления улыбок.

    Как ортопед, я учитываю нюансы работы мышц и височно-нижнечелюстного сустава. Каждый клинический случай уникален, и я подхожу к нему с индивидуальным вниманием, стремясь понять потребности каждого пациента. 
    Для меня важно работать в команде, ведь так можно добиться наилучших результатов в стоматологической реабилитации.

    Обо мне в работе:
    - Планирование стоматологической реабилитации "по шагам", с применение цифрового и рентгенологического оборудования.
    На консультации мы выявим объем задач и поэтапно распишем варианты их решения, при необходимости, привлекая смежных специалистов
    - Протезирование безметалловыми керамическими конструкциями с опорой на зубы и дентальные имплантаты
    - Эстетическое протезирование - высоко эстетичные виниры и коронки в зоне улыбки
    - Тотальная функциональная и эстетическая реабилитация 
    - Работа с дисфункциями височно-нижнечелюстного сустава
    - Применений увеличительной оптики в работе
    - Применение цифровых технологий 

    Работа в команде с ортодонтом:
    - Диагностика ВНЧс, определение терапевтического положения нижней челюсти с использованием сплинта
    - Временное протезирование на этап ортодонтического лечения
    - Эстетическая и функциональная доорганизация прикуса после ортодонтического лечения

    Работа в команде с неврологом:
    - Гипертонус жевательных мышц
    - Бруксизм
    - Повышенная стираемость зубов

    Работа в команде с терапевтом:
    - Восстановление зубов керамическими коронками и накладками 

    Работа в команде с хирургом:
    - Одномоментная нагрузка имплантатов временными коронками в эстетически значимой зоне 
    - Протезирование утраченных зубов на дентальных имплантатах 

    Если вы ищете специалиста, который поможет вам вернуть здоровье и красоту вашей улыбки, буду рада поддерживать вас на этом пути. Давайте вместе создавать улыбки, которые не только красивы, но и функциональны!


    Образование

    - Первый Московский государственный медицинский университет им И. М. Сеченова (Сеченовский университет), программа высшего образования, специалитет, специальность "Стоматология"

    - ФГБУ ГНЦ РФ Федеральный медицинский биофизический центр им А. И. Бурназяна, программа ординатуры, специальность "Стоматология ортопедическая"

    - Курс по гнатологии "Гнато-модуль" проф. Ряховского А. Н.

    - Курс "Лечение при помощи Aqua Splint". Бруксизм и физиотерапия - Алладин Сабах

    - Модульный курс (24 модуля) Протокол Verti prep - Паскуаль Венутти

    - "Препарирование зубов для изготовления полных коронок", практический курс, Москва

    - "Раббердам - как стандарт работы врача стоматолога", практический курс, Москва

    - "Astra Tech Implant System - особенности имплантации и протезирования", Dentsply Sirona Е. Антюхин, Р. Аюбов 

    Примеры работ

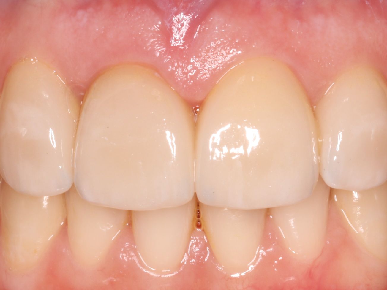
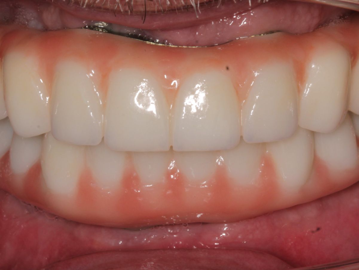
    • Керамические виниры E.max

    • Керамические виниры E.max

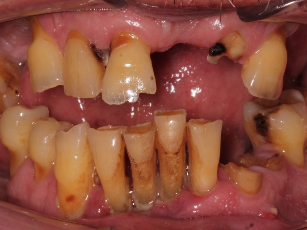
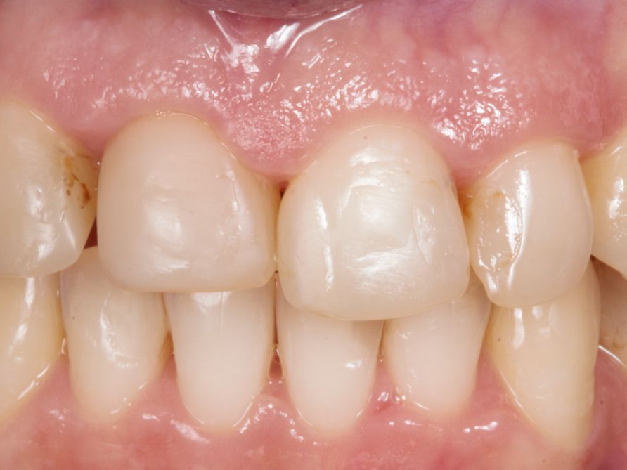
    • Функциональная реабилитация на имплантатах

    • Эстетическая реабилитация винирами E.max

    • Постортодонтическая реорганизация прикуса коронками E.max

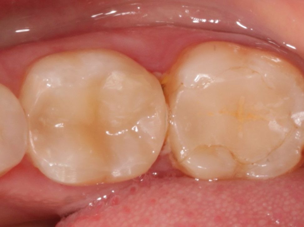
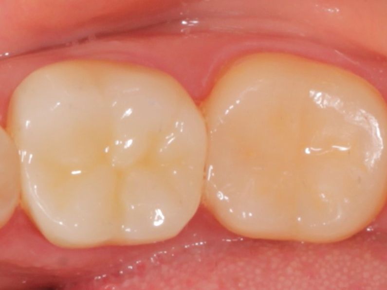
    • Коронка из диоксида циркония и вкладка E.max