Дмитрий Дворянков

    Стоматолог-ортопед
    Взрослые
    Владеет языками
    Английский

    Обо мне

    • Применяю современные способы планирования лечения, протезирование зубов при помощи керамических конструкций с опорой на зубы и дентальные имплантаты.
    • Провожу высоко эстетические реставрации фронтальной группы зубов.
    • Занимаюсь тотальными функциональными и эстетическими реабилитациями пациентов со сложными клиническими случаями. 
    • В своей работе использую увеличительную оптику и цифровое оборудование, что помогает добиваться высокоточных результатов.
    • Занимаюсь диагностикой и лечением дисфункций височно-нижнечелюстного сустава

    Образование

    Окончил НИ МГУ им. Н.П. Огарева «Медицинский институт» г. Саранск. 

    Окончил клиническую ординатуру ФГБУ «ЦНИИСиЧЛХ» по специальности «Стоматология ортопедическая»  г. Москва

    Пройденные семинары и мастер-классы:

    Лекционно- практический курс «Керамические реставрации: от планирования до фиксации» под руководством Артем Олексик, г. Москва (2017)
    IV Международный конгресс ассоциации цифровой стоматологии» под руководством Самвел Апресян, Александр Першин, Михаил Антоник, Степан Лебедев, г. Москва (2017)
    Лекционно- практический курс «CAD/CAM система Cerec- основы сканирования, моделирования и изготовления одиночных реставраций» под руководством Скульский В.О. (учебный центр Dentsply Sirona), г. Москва (2017)
    Международный симпозиум Квинтэссенции по эстетике «Расширяя горизонты эстетической стоматологии: внедрение новых технологий и сохранение традиционных методов»» Под руководством Гаджи ДажаевШтефан ВольфартГамид Насуев, Гиви Орджоникидзе г. Москва (2017)
    Лекционно- практический курс «Препарирование зубов для изготовления полных коронок» под руководством Гаджи Дажаев, г. Москва (2017)
    Лекционно- практический курс «Базовые аспекты имплантологии» под руководством Гиви Орджоникидзе, г. Москва (2018)
    Лекционно- практический курс «Основы принятия решений в имплантологии: хирургические и ортопедические аспекты» Nobel Biocare, г. Москва (2018)
    Лекционно- практический курс «Планирование ортопедического лечения» под руководством Гаджи Дажаев, г. Москва (2018)
    Лекционно- практический курс «Принципы работы с имплантационной системой Straumann» курс для ортопедов, г. Москва (2018)
    Лекционно- практический курс «Особенности работы с мягкими тканями в области имплантатов» под руководством Giovanni Zucchelliг.Санкт-Петербург (2019)
    Лекционный практический курс «Особенности тотального протезирования» под руководством Алиби Максутов, г. Москва(2019) 
    Гнатологический конгресс OHI-S, г. Москва (2021) 
    Практический курс "Модуль по функциональным аспектам диагностики и лечения" под руководством Дмитрий Компаниец, г. Москва (2021)
    o Лекционный практический курс "Применение окклюзионной концепции функционального размыкания ( Functionally Discluded Occlusion, FDO) при тотальной стоматологической реабилитации" под руководством Арам Абгарян и Артур Мартиросян, г. Москва (2022)
    o Практический курс “Факторы выбора ортопедических конструкций” под руководством Гамид Насуев, г. Москва (2023)
    o Практический курс "Временное протезирование" под руководством Гиви Орджоникидзе, г. Москва (2023)
    Индивидуальный практический курс "Керамические реставрации" под руководством Ислам Шиков, г. Краснодар (2023)
    Симпозиум Квинтэссенции «Клинические аспекты ортопедического лечения» г. Москва (2024)
    o Лекционно- практический курс «The Art of tooth preparation» под руководством Dr. Jun Iwata, г. Хёго, Япония (2025)
    Международный симпозиум Квинтэссенции «Эстетические и функциональные аспекты стоматологической реабилитации» г. Москва (2025)

    Примеры работ

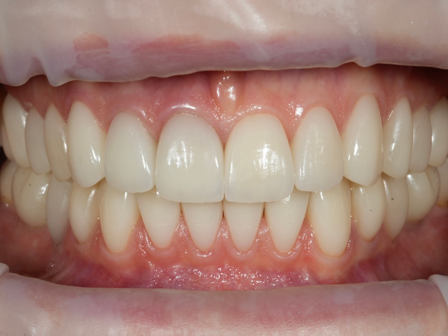
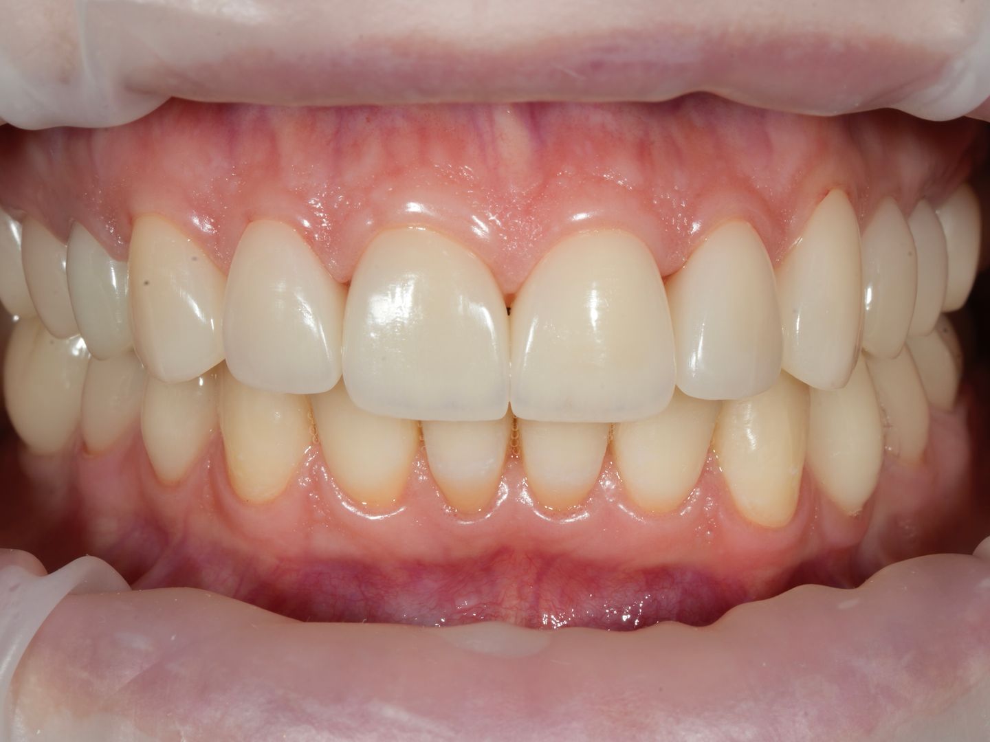
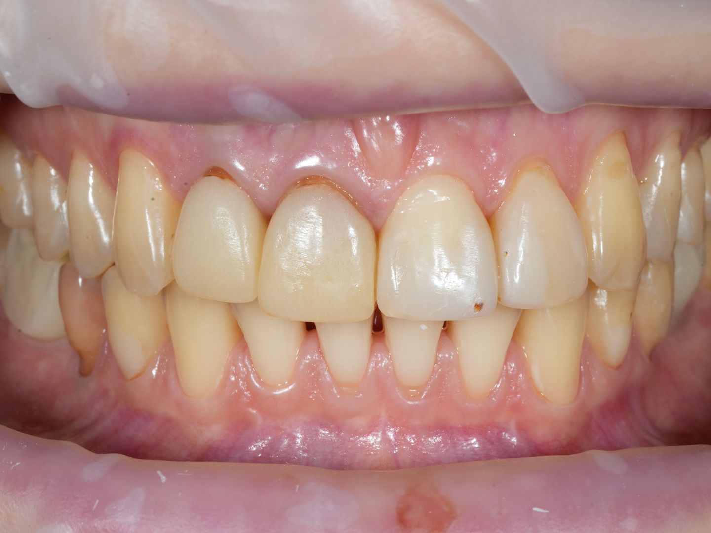
    • Керамические виниры E.max

    • Замена неэстетичных конструкций на виниры E.max

    • Коррекция дисколорита с помощью керамического винира E.max

    • Тотальная реабилитация пациента керамическими винирами Е.max и протезирование All-on-6

    • Керамические виниры E.max

    • Протезирование All-on-6 на верхней и нижней челюсти

    • Тотальная реабилитация пациента керамическими винирами Е.max и протезирование All-on-6

    • Тотальная реконструкция эстетики улыбки керамическими винирами и керамическими коронками на имплантатах

    • Комплексное восстановление всех зубов с помощью керамических виниров и коронок E.max

    • Восстановление эстетики улыбки керамическими винирами и керамической коронкой на имплантате

    • Восстановление анатомии зубов и эстетики улыбки с помощью керамических реставраций E.max

    • Замена старых несостоятельных коронок и восстановление эстетики улыбки с помощью керамических коронок E.max

    • Восстановление зубов керамическими винирами E.max

    • Восстановление зубов после ортодонтического лечения керамическими винирами E.max